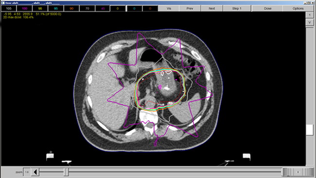
Quiz: Question 7
In the treatment plan above, the tumor volume in red was probably planned with a: a) four field AP, PA, RT, LT arrangement b) 5 Field IMRT arrangement c) 7 Field IMRT arrangement d) 9 Field IMRT arrangement