Image Image Image

Quiz: Question 10

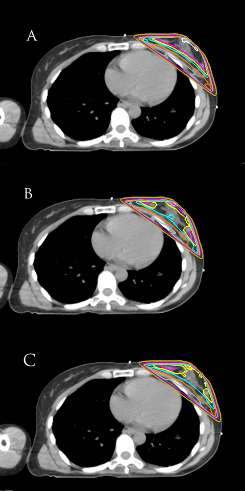
What set of isodose curves best displays homogeneous coverage for left-sided breast cancer?
               


 

n Page 10 of 10 n