Lesson: IMRT Module
IMRT Treatment Planning

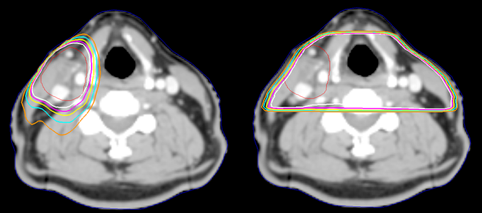
Above you can see two identical tumor volumes. The one on the Right has been planned with traditional lateral fields. The one on the Left has been treated with multi-field IMRT. Notice how much normal treatment is spared.
 |
Page 2 of 24 |
 |